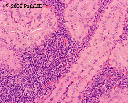
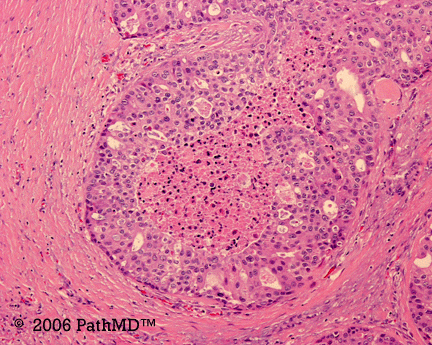
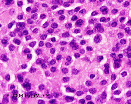
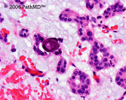
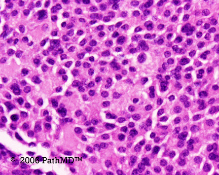
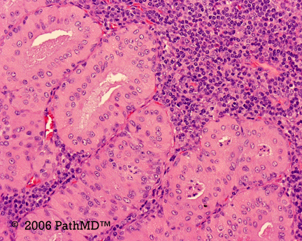
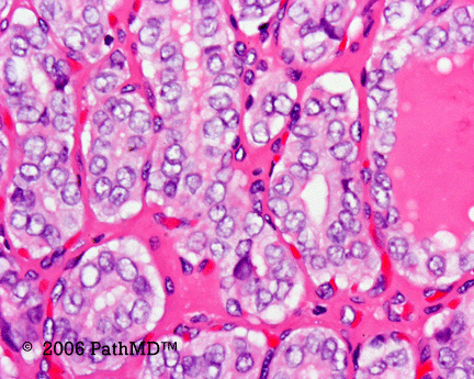
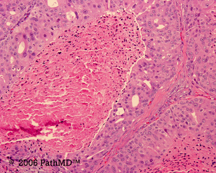
PathMD Quizes, Head & Neck Head & Neck – 04 October 29, 2017 peferguson Make sure to subscribe to PathMD to stay up to date with new content and features!! 1. Which of the following sub-classifications of sinonasal papillomas are most often associated with carcinomas?None of the answers are correctSeptal type papillomaCylindrical cell papilloma Inverted papilloma Ocnocytic Schniderian papilloma 2. A 50 y/o male presents with a rapidly growing parotid mass. Representative images are shown. Based on the findings, the best diagnosis is: Head & Neck - Part 4, Question #5 Head & Neck - Part 4, Question #5 Head & Neck - Part 4, Question #5Salivary duct carcinoma Squamous cell carcinoma Polymorphous low-grade adenocarcinoma Ductal carcinoma in situ Invasive adenocarcinoma 3. All of the following are true with regards to nasopharyngeal carcinoma EXCEPT:Undifferentiated subtype has the worst prognosisRadiation is treatment of choiceTumor may not be recognized due to extensive inflammatory infiltrate Undifferentiated subtype is the most commonKeratinizing subtype is not associated with EBV infection 4. A 35 y/o black female presents with a tongue lesions illustrated in the histologic images for this question. Based on the findings, the best diagnosis is: Head & Neck - Part 4, Question #1 Head & Neck - Part 4, Question #1 Head & Neck - Part 4, Question #1 Head & Neck - Part 4, Question #1Squamous Cell Carcinoma OncocytomaCongenital epilus AngiofibromaGranular Cell Tumor 5. A red-pink friable nasal polypoid lesion is biopsied in a 45 y/o Indian male. Histologic examination shows a hyperplastic epithelium with an underlying dense lymphoplasmacytic infiltrate containing scattered large cysts (~300µm), which have thick birefringent walls. Based on the description, the best diagnosis is:CoccidioidesSchneiderian papillomaAllergic polypsRhinosporidiumWhipple’s disease 6. A 20 y/o female presents with a palpable thyroid mass. Based on the histologic findings, what is the diagnosis? Head & Neck - Part 4, Question #2 Head & Neck - Part 4, Question #2 Head & Neck - Part 4, Question #2Hurthle cell adenoma Medullary thyroid carcinoma Papillary thyroid carcinomaFollicular thyroid carcinoma Diffuse nodular hyperplasia 7. A 37 y/o man presents with an enlarge parotid gland. A mass was identified and removed. Based on the histologic findings, what is the best diagnosis? Head & Neck - Part 4, Question #4 Head & Neck - Part 4, Question #4 Head & Neck - Part 4, Question #4Chondrosarcoma Pleomorphic adenomaAcinic cell carcinoma Mucoepidermoid carcinoma Carcinoma ex pleomorphic adenoma 8. A 20 y/o female with a “family history of thyroid cancers” presents with a thyroid mass represented in the images for this case. What is the most likely diagnosis? Head & Neck - Part 4, Question #3 Head & Neck - Part 4, Question #3 Head & Neck - Part 4, Question #3 Head & Neck - Part 4, Question #3Hurthle cell adenomaFollicular thyroid carcinoma Diffuse nodular hyperplasiaPapillary thyroid carcinomaMedullary thyroid carcinoma 9. Which of the following tests is the most sensitive and specific for Wegner’s Granulomatosis?Anti-AMA (M2) p-ANCAc-ANCAAnti-dsDNAAnti-smooth muscle Ab 10. All of the following are true with regards to the lesion represented in the histologic images for this case EXCEPT: Head & Neck - Part 4, Question #6 Head & Neck - Part 4, Question #6 Head & Neck - Part 4, Question #6Most common benign salivary gland tumor Associated with cigarette smoking Contains papillary and cystic structuresMost common bilateral salivary gland tumorThought to arise from entrapped salivary gland tissue in a lymph node Loading... Share this: Share on X (Opens in new window) X Share on WhatsApp (Opens in new window) WhatsApp Share on Facebook (Opens in new window) Facebook Email a link to a friend (Opens in new window) Email Print (Opens in new window) Print Share on LinkedIn (Opens in new window) LinkedIn Related