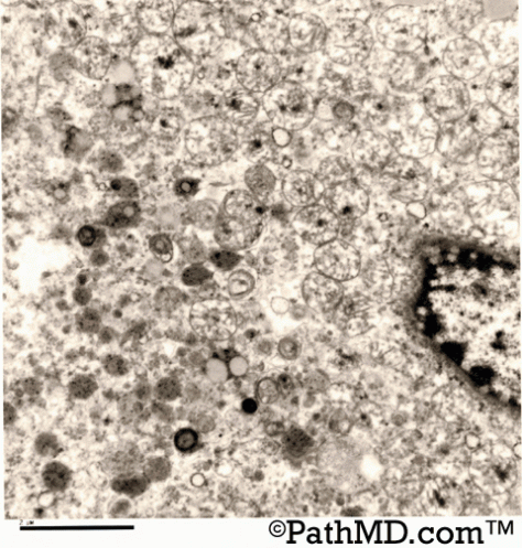
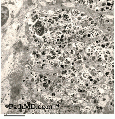
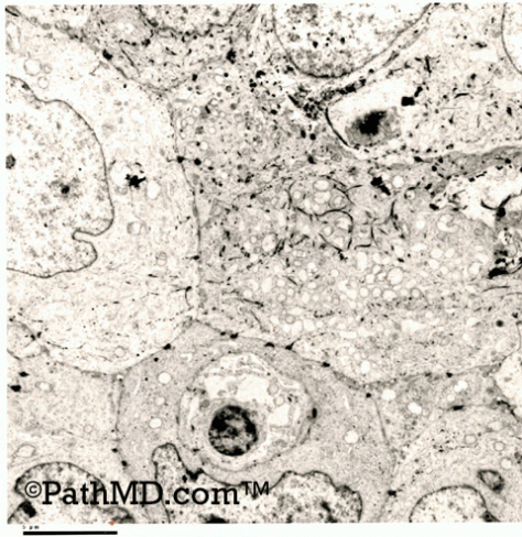
PathMD Quizes, Anatomic Electron Microscopy – 01 October 29, 2017 peferguson Make sure to subscribe to PathMD to stay up to date with new content and features!! 1. A biopsy from the tongue shows pseudoepitheliomatous hyperplasia with histiocyte like cells underneath, which contain a granular cytoplasm. A diagnosis is suspected and confirmed with S-100 positivity. Which of the following is true with regards to this tumor:EM will show numerous lysosomesEM will show abundant mitochondria EM will show abundant rough endoplasmic reticulum EM will show cytoplasmic microvilli EM will show numerous premelanosomes 2. A specimen being prepared for electron microscopy should be fixed in:Bouin’sGluteraldehydeMercury based fixativeZinc formalin B5 3. EM of a CNS tumor shows prominent interdigitating processes without a basal lamina. There are well formed desmosome junctions and prominent cytoplasmic inclusions. These findings are most consistent with:EpendymomaMeningiomaCarcinomaSchwannomaLymphoma 4. Based on the findings in the images below for Case #3, which of the following is the best diagnosis? Electron Microscopy Set 1 Case 3 Electron Microscopy Set 1 Case 3Squamous Cell Carcinoma SchwannomaAdenocarcinomaMelanomaMesothelioma 5. An undifferentiated tumor shows prominent profiles of rough endoplasmic reticulum. Which of the following markers would also be positive in this lesion?CD138CD45S-100 SynaptophysinHale’s colloidal iron 6. EM of a CNS tumor showed intracellular lumens lined by microvilli with specialized junctions between cells and glial features. This is most conisistant with which of the following tumors:SchwannomaChoroid plexus tumorAstrocytomaEpendymomaCarcinoma 7. Based on the findings in the image below for Case #5, which of the following is the best diagnosis? Electron Microscopy Set 1 Case 5MelanomaGranular Cell Tumor Renal Cell Carcinoma, chromophobe type Renal Cell Carcinoma, clear cell typeOncocytoma 8. EM of an undifferentiated tumor is noted to have long thin microvilli (height to width ~ 10:1). Which of the following tumors is this most consistent with:MesotheliomaBreast adenocarcinoma Pulmonary adenocarcinomaProstate carcinoma Thyroid follicular carcinoma 9. EM of an undifferentiated tumor shows microvilli with long filamentous core rootlets (electron dense). This finding suggests which diagnosis:Breast adenocarcinoma GI adenocarcinoma Prostate carcinoma Thyroid follicular carcinoma Mesothelioma 10. Based on the findings in the images below for Case 1, which of the following is the best diagnosis? Electron Microscopy Set 1 Case 1 Electron Microscopy Set 1 Case 1 Electron Microscopy Set 1 Case 1MelanomaSchwannomaAdenocarcinomaMesotheliomaSquamous Cell Carcinoma 11. Based on the findings in the images below for Case #2, which of the following is the best diagnosis? Electron Microscopy Set 1 Case 2 Electron Microscopy Set 1 Case 2PlasmacytomaAdenocarcinomaMelanomaSchwannomaGranular Cell Tumor 12. EM of a tumor shows rhomboid crystalline inclusions. Cytogenetics also showed a t(X;17). These findings are consistent with which of the following neoplasms?Papillary ependymoma Clear cell sarcomaMedulloblastomaAlveolar soft part sarcoma Neurocytoma 13. Based on the findings in the images below for Case #4, which of the following is the best diagnosis? Electron Microscopy Set 1 Case 4 Electron Microscopy Set 1 Case 4LymphomaMeningiomaAdenocarcinomaSchwannomaSquamous Cell Carcinoma Loading... Share this: Share on X (Opens in new window) X Share on WhatsApp (Opens in new window) WhatsApp Share on Facebook (Opens in new window) Facebook Email a link to a friend (Opens in new window) Email Print (Opens in new window) Print Share on LinkedIn (Opens in new window) LinkedIn Related