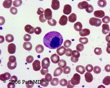
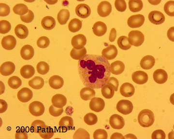
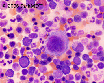
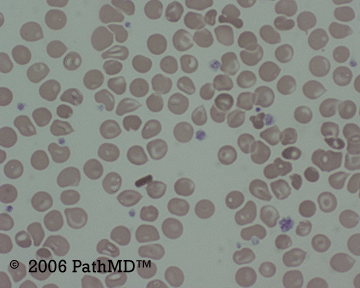
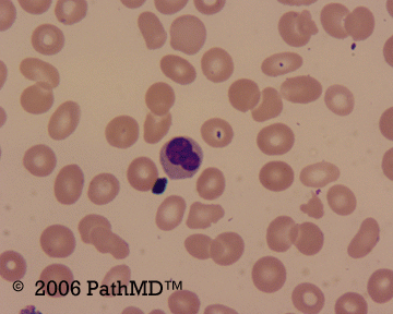
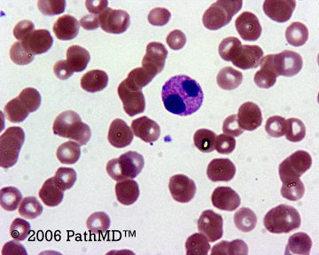
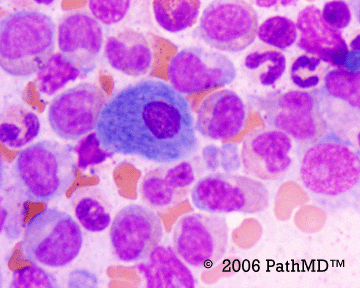
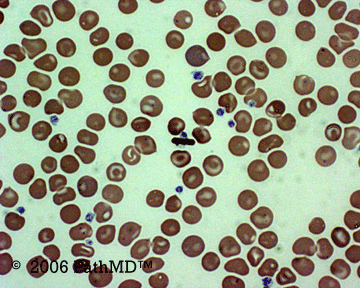
PathMD Quizes, Hematopathology Peripheral Blood – 01 October 29, 2017 peferguson Author: Philip Ferguson, M.D. Make sure to subscribe to PathMD to stay up to date with new content and features!! 1. An otherwise healthy 50 y/o white female is undergoing a transthoracic echocardiogram to evaluate possible mitral regurgitation. To suppress the gag reflex lidocaine spray is used liberally on the posterior pharynx. As the procedure begins the patient is noted to become short of breath and anxious. Immediately the procedure is stopped and the physician notes the patient’s lips are blue. A blood gas is drawn, which shows a pO2 = 98 mmHg and a pCO2 = 30 mmHg. The best treatment of the patient would be?None of the answersSupplemental oxygen by face mask and other supportive therapy Give methylene blue Consult surgery for an acute development of a right to left shunt Start unfractionated heparin or low molecular weight heparin 2. Which of the following methods is most accurate in quantitating HbA2 (important in β-thalassemia)?Ion-Exchange chromatographyElectrophoresis on cellulose acetate High Performance Liquid Chromatography (HPLC) Flow cytometry 3. Given the findings in the peripheral blood smear in Case #4 in the images below, which of the following is the best diagnosis: Peripheral Blood Part 1, Case #4 Peripheral Blood Part 1, Case #4None of the answersChediak Higashi May-Hegglin Anomaly Reactive changes Iron Deficiency Anemia 4. At what age is the best time to screen for sickle cell disorders?6 months > 1 year of ageAt birth 2 months 5. The best diagnosis for the peripheral smear illustrated in Case #3 in the images below is: Peripheral Blood Part 1, Case #3 Peripheral Blood Part 1, Case #3ElliptocytosisIron deficiency anemia ThalassemiaHereditary spherocytosis Hb Bart’s disease 6. The images for Case #1 below are characteristic of which of the following: Peripheral Blood Part 1, Case #1 Peripheral Blood Part 1, Case #1 Peripheral Blood Part 1, Case #1MetamyelocytesBandsChronic myelogenous leukemia Normal PMNs Pseudo Pelger-Huet cells 7. A 30 y/o Asian female is found to have a homozygous hemoglobinopathy. She has a hypochromic anemia and splenomegaly. Which of the following is the most likely the etiology?Hb Dβ thalassemiaHb EHb SCHb S 8. A 70 y/o male presents with a WBC count of 2.1, Hb of 8.7 g/dL, and plts. of 88K. There is no evidence of hepatosplenomegaly or lymphadenopathy. Given this history and the image findings in the images below for Case #6 (blast percentage = 17%), which of the following is the most likely diagnosis? Peripheral Blood - Part 1, Case #6 Peripheral Blood - Part 1, Case #6 Peripheral Blood - Part 1, Case #6LPL - Lymphoplasmacytic LymphomaMDS - Myelodysplastic SyndromeCML - Chronic Myelogenous LeukemiaALL - Acute Lymphoblastic Leukemia/LymphomaAML - Acute Myelogenous Leukemia 9. When considering hemoglobin electrophoresis on cellulose acetate at pH 8.4, which of the following is the correct order of Hb migration from the cathode towards the anode?C S A FS C A FC S F AS C F AA F S C 10. Which of the following is the cause of target cells found in HbCC disease?Increase free cholesterol in the plasma Loss of Hb, which causes an increase in the surface to volume ratio Decrease in membrane lipid loss Collection of Hb in the thicker areas of the cell as water evaporates 11. Which of the following is the best diagnosis given the findings in the peripheral smear in Case #2 below: Peripheral Blood Part 1, Case #2 Peripheral Blood Part 1, Case #2 Peripheral Blood Part 1, Case #2β-thalassemia HbSS disease Iron deficiency anemiaMalariaHbCC disease 12. A 65 y/o male patient presents with increasing fatigue, a WBC count of 65K, and the findings illustrated on the peripheral blood smear in Case #5 in the images below. The most likely diagnosis is: Peripheral Blood Part 1, Case #5 Peripheral Blood Part 1, Case #5 Peripheral Blood Part 1, Case #5AML - Acute Myelogenous LeukemiaAcute infection CML - Chronic Myelogenous LeukemiaMDS - Myelodysplastic SyndromeALL - Acute Lymphoblastic Leukemia/Lymphoma 13. An amino acid substitution of lysine for glutamic acid in position 6 of the β hemoglobin molecule is characteristic of which Hb?Hb CHb HHb S Hb Eβ thalassemia Loading... Share this: Share on X (Opens in new window) X Share on WhatsApp (Opens in new window) WhatsApp Share on Facebook (Opens in new window) Facebook Email a link to a friend (Opens in new window) Email Print (Opens in new window) Print Share on LinkedIn (Opens in new window) LinkedIn Related