Forensic Pathology – 01

Authors:  Jennifer L. Hammers, D.O. & Elena Bulakhtina, M.D.

Make sure to subscribe to PathMD to stay up to date with  new content and features!!

1. A 24-year-old black male was found dead the morning after a party at his friend’s house. His friends stated that the deceased had “some breathing problem” since he was a kid. They also reported that the deceased “never drank too much”. At autopsy the only significant finding was in the respiratory system. The lungs were distended and hyper-inflated. The microscopic picture reveled the following (see images). The toxicology results were positive for blood alcohol of 0.02%. All the statements about this condition are true EXCEPT:

Forensics Part 1, Question #9
Forensics Part 1, Question #9


Forensics Part 1, Question #9
Forensics Part 1, Question #9


Forensics Part 1, Question #9
Forensics Part 1, Question #9


Forensics Part 1, Question #9
Forensics Part 1, Question #9
2. A 23-year-old black male was seen driving at a high rate of speed in the wrong direction on a highway US 666 before he collided head-on with an SUV. He was unrestrained but had only a few, minor external injuries. He was pronounced dead upon arrival by EMS. The autopsy revealed an intact spleen with an unusual appearance (see gross photograph). The family later confirmed a history for the decedent. The peripheral smear obtained from the local hematologist showed the following (see the picture). What is the etiology of the disease involving the spleen?

Forensics Part 1 Question #3
Forensics Part 1 Question #3


Forensics Part 1 Question #3
Forensics Part 1 Question #3
3. This was an incidental finding in the parenchyma of the right upper lobe of the lung just beneath the pleura in 28-year old Hispanic male who died of combined drug overdose (see microscopic picture). Grossly, the mass was sharply delineated and lobulated. All statements about this lesion are true EXCEPT:

Forensics Part 1, Question #7
Forensics Part 1, Question #7


Forensics Part 1, Question #7
Forensics Part 1, Question #7


Forensics Part 1, Question #7
Forensics Part 1, Question #7
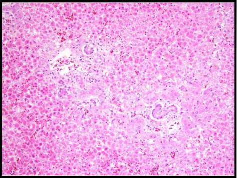
4. A 65-year-old black male was found unresponsive by his neighbor on the back yard. He was pronounced dead upon arrival by EMS. The neighbor stated that the deceased was a known drinker and smoker but could not provide any information about his past medical history. The deceased house was found unkept with multiple liquor bottles, litter and dog feces on the floor. The external examination of the body revealed a thin male, status post right below the knee amputation. The skin of the left lower extremity displayed multiple light brown, scaly patches and superficial ulcers. At autopsy, moderate atherosclerotic cardiovascular disease, hepatosplenomegaly and steatosis of the liver were identified. The kidneys weighed 120 and 110 grams and had granular surfaces with multiple irregular depressions. Upon bisection, marked thinning of the cortical tissue was seen bilaterally. Microscopically, both kidneys displayed the following (see pictures). What is the underlying medical condition involving the kidneys?

Forensics Part 1 Question #4
Forensics Part 1 Question #4


Forensics Part 1 Question #4
Forensics Part 1 Question #4
5. A 25-year-old, 34 week pregnant female was found obtunded by her husband in bed surrounded by empty medicine bottles and pills of various colors and shapes. The husband reported that they had a violent quarrel three days ago, after which he left the house. He stayed at his parents’ house and did not have any contact with his wife since his departure. According to him, she was having a difficult time coping with college and part-time work. She did not have prior suicide attempts or ideations.

Upon admission to the hospital, she was noted to have severely altered mental status, mild icteric sclera and blood pressure of 90/60 mmHg. The blood chemistry panel showed thrombocytopenia, prolonged PT, PTT, AST of 8460 IU/L, ALT of 4640 IU/L, and alkaline phosphatase of 338 IU/L. Due to absence of fetal movements, an emergency Csection was attempted. An appropriate for gestational age stillborn boy was delivered. In spite of aggressive treatment including massive doses of fresh frozen plasma and NovoSeven, the mother developed multi-organ failure and expired next day. Both bodies were sent to Medical Examiner’s office. An autopsy of the mother revealed a moderately jaundiced Caucasian female. All internal organs displayed scattered petechial hemorrhage. Severe pulmonary congestion, bilateral pleural effusion, ascites and hepatomegaly with steatosis were observed. Microscopic findings in the liver are shown in the picture (see image). All of the following about the main culprit of this female’s demise is true EXEPT:

Forensics Part 1, Question #10
Forensics Part 1, Question #10


Forensics Part 1, Question #10
Forensics Part 1, Question #10


Forensics Part 1, Question #10
Forensics Part 1, Question #10
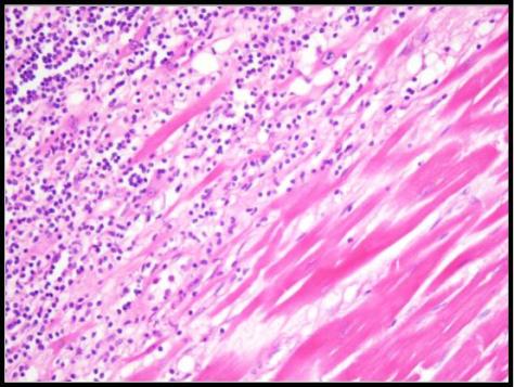
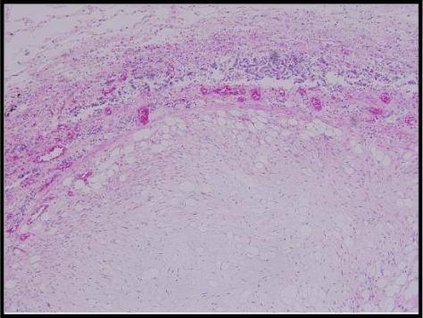
6. A 36-year-old previously healthy Caucasian female complained of severe substernal chest pain associated with left arm radiation shortly after a 10-mile training run. She collapsed in front of her family in cardiac arrest before the ambulance arrived. Aggressive resuscitation continued for 50 minutes but was futile. The relatives reported that the deceased was in excellent health and had been actively training for Pittsburgh Marathon. She had never been pregnant and never used tobacco, alcohol or illicit drugs. Due to circumstances, the autopsy was performed at the Medical Examiner’s office. The postmortem examination revealed a pathologic finding in the left anterior descending artery (see microscopic pictures). The rest of the heart and other organs were grossly unremarkable. This condition is most common in:

Forensics Part 1 Question #6
Forensics Part 1 Question #6


Forensics Part 1 Question #6
Forensics Part 1 Question #6
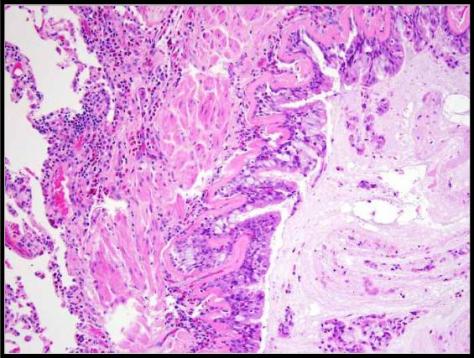
7. A 33-year-old white male with past medical history of depression and prior suicide attempts was found in the basement with a 6-foot long orange electrical cord wrapped around his neck. A suicide note was present at the scene. The external examination of the body revealed the ligature mark above the level of the Adam's apple and fine petechial hemorrhages on the face. The internal organs were largely unremarkable except for a 3 cm in diameter, subcapsular mass in the liver (see gross and microscopic images). Which of the following IS NOT a feature of this lesion?

Forensics Part 1 Question #1
Forensics Part 1 Question #1


Forensics Part 1 Question #1
Forensics Part 1 Question #1
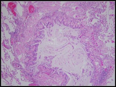
8. A 19-year-old female was found dead at home by her aunt. According to the relatives, the deceased delivered a term baby boy 4 days ago in the hospital. She did not have any prenatal care. The deceased had no significant past medical history. However, she was complaining of shortness of breath, dry cough and headaches for several days prior to her death. She did not seek medical advice and was taking Tylenol and Robitussin cough syrup for symptoms relief. Due to circumstances, the body was sent to the Medical Examiner’s office for an autopsy. At the postmortem examination, the uterus measured 22x12x8.5 cm and weighed 560 grams. The cut surfaces revealed focal hemorrhages. The right and left lungs weighed 410 grams and 390 grams respectively. The lung parenchyma was congested and moderately edematous. The rest of the organs were grossly unremarkable. A surgical pathology report on the placenta obtained from the local hospital, described no pathologic changes. Since the cause of death was not clear at the time of autopsy, the brain was fixed in formalin pending examination by a neuropathologist. Two weeks later, the microscopic examination of the lungs and the brain revealed the following changes (see images). The pathologist who signed the report on the placenta was contacted and notified of the findings. Repeated examination of the placenta revealed no gross abnormalities. Multiple additional sections of the placenta were submitted for microscopic examination, and a small lesion identical to the findings in the lungs and the brain was identified. The histological findings in the lungs and the brain are consistent with the diagnosis of:

Forensics Part 1 Question #2
Forensics Part 1 Question #2


Forensics Part 1 Question #2
Forensics Part 1 Question #2


Forensics Part 1 Question #2
Forensics Part 1 Question #2


Forensics Part 1 Question #2
Forensics Part 1 Question #2


Forensics Part 1 Question #2
Forensics Part 1 Question #2


Forensics Part 1 Question #2
Forensics Part 1 Question #2


Forensics Part 1 Question #2
Forensics Part 1 Question #2
9. A 65 year-old Caucasian female with a past medical history of hypertension, hyperlipidemia and insulin dependent diabetes mellitus for more than 10 years duration was found dead at home by her daughter. The daughter stated that the deceased complained of back pain and mild shortness of breath for several days prior to her death but otherwise was in her usual state of health. Due to unclear circumstances, the body was brought to Medical Examiner’s office for postmortem examination. An autopsy revealed 200 cc of blood with clots within the pericardial cavity. The anterior wall of the left ventricle displayed the following findings (see gross pictures). What IS NOT true about this condition?

Forensics Part 1, Question #8
Forensics Part 1, Question #8


Forensics Part 1, Question #8
Forensics Part 1, Question #8


Forensics Part 1, Question #8
Forensics Part 1, Question #8
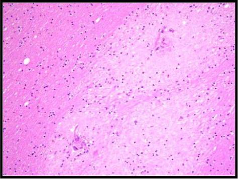
10. A 22-year old white male collapsed in the middle of the college class. En route to the hospital, ventricular tachycardia followed by ventricular fibrillation was registered by EMTs. He died in the ER shortly after arrival in spite of aggressive resuscitation. Considering young age and unclear cause of lethal arrhythmia, the body was sent to Medical Examiner’s office. Postmortem examination revealed cardiomegaly (600 grams) and left ventricular dilatation (4.3 cm at the level of the papillary muscles). Microscopic findings are provided below (see images).

According to the relatives, approximately 10 months ago the deceased experienced flu like illness followed by gradual decrease of exercise tolerance, lack of energy and malaise. He did not seek medical help attributing his symptoms to “college fatigue”. Shortly before death, he complained of dry cough and occasional chest pain. He scheduled an appointment with his family physician but skipped it due to important seminar. Prior to these events, the deceased was in excellent health. He was a captain of a water polo team, rarely consumed alcohol and never traveled outside of the US East Coast. Based on the history and the autopsy findings, forensic pathologist suspected a particular etiologic agent and sent a sample of the myocardium for cDNA hybridization study. The probe came positive. What is the most likely causative agent of this cardiac pathology?

Forensics Part 1 Question #5
Forensics Part 1 Question #5


Forensics Part 1 Question #5
Forensics Part 1 Question #5


Forensics Part 1 Question #5
Forensics Part 1 Question #5


Forensics Part 1 Question #5
Forensics Part 1 Question #5