Forensic Pathology – 02

Authors: Elena Bulakhtina, M.D.

Make sure to subscribe to PathMD to stay up to date with  new content and features!!

1. An autopsy of a child with spina bifida revealed widening of the central canal of the spinal cord, hydrocephalus and myelomeningocele (see images below).

Forensics Part 2, Question #4
Forensics Part 2, Question #4


Forensics Part 2, Question #4
Forensics Part 2, Question #4


Which statement about this condition is FALSE?
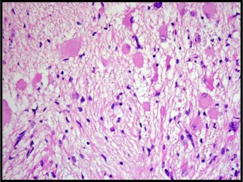
2. A 20-year-old white male with a long standing history of epilepsy was found dead face down in his bedroom. The relatives of the deceased stated that his condition worsened recently. The seizures became more frequent and were poorly controlled despite adjustment of medications. An autopsy was performed at Medical Examiner’s office. The external examination of the body revealed multiple, firm, brown, telangiectatic papules located in the nasolabial folds, chin, and cheeks. The areas of thick leathery skin resembling an orange peel were found on the lower back and posterior neck. Examination of formalin-fixed brain revealed expanded, pale and firm gyri in both frontal and parietal lobes.

What are other major manifestations of tuberous sclerosis (TS)? (Choose ALL applicable):
3. A 20-year-old white male with a long standing history of epilepsy was found dead face down in his bedroom. The relatives of the deceased stated that his condition worsened recently. The seizures became more frequent and were poorly controlled despite adjustment of medications. An autopsy was performed at Medical Examiner’s office. The external examination of the body revealed multiple, firm, brown, telangiectatic papules located in the nasolabial folds, chin, and cheeks (see gross image). The areas of thick leathery skin resembling an orange peel were found on the lower back and posterior neck. Examination of formalin-fixed brain revealed expanded, pale and firm gyri in both frontal and parietal lobes (see gross images below).

Forensics Part 2, Question #7
Forensics Part 2, Question #7


Forensics Part 2, Question #7
Forensics Part 2, Question #7


Forensics Part 2, Question #7
Forensics Part 2, Question #7


Based on the information provided, name gene product and corresponding chromosome responsible for the above findings.
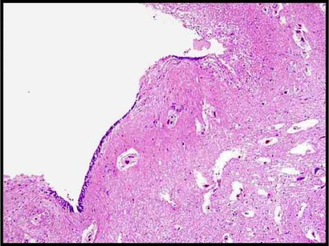
4. This anterior abdominal wall mass was an incidental autopsy finding in 48-year-old male alcoholic, who was found dead in his locked and secure apartment. Grossly, the mass was large, white and firm, filling the right abdomen (see photos). Microscopic images of the lesion are provided.

Which statement about this entity is FALSE?

Forensics Part 2, Question #2
Forensics Part 2, Question #2


Forensics Part 2, Question #2
Forensics Part 2, Question #2


Forensics Part 2, Question #2
Forensics Part 2, Question #2
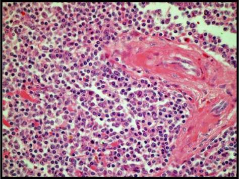
5. A 60-year-old female was found in the local woods by a dog walker. She was fully clothed, and there were no signs of trauma or foul play. At autopsy performed at Medical Examiner’s office, lymphadenopathy involving hilar, mediastinal and retroperitoneal lymph nodes, hepatomegaly (3600 grams) and splenomegaly (1110 g) were identified. There were no distinct masses on gross examination of the liver, spleen or other internal organs. Several days later, the woman was identified by her daughter, who revealed the following information. Past medical history of the decedent was significant for squamous cell carcinoma of the face treated with radiation therapy. Two weeks ago she was hospitalized for evaluation of newly developed anemia. Upon physical examination, a markedly enlarged lymph node was found in her left armpit. The lymph node was removed, and shortly after the procedure the patient left the hospital against medical advice. Examination of the lymph node by H & E and immunohistochemistry at the local hospital established the diagnosis of anaplastic large cell lymphoma (ALCL). Histologic sections of the liver and spleen at autopsy revealed cells consistent with ALCL (see image below).

Forensics Part 2, Question #1
Forensics Part 2, Question #1


All of the statements about the immunophenotype and genetics of this entity are true EXCEPT:
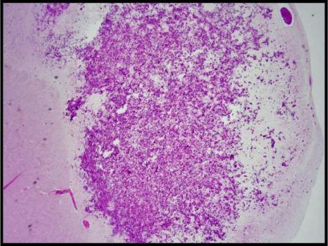
6. A 44-year-old female with a past medical history of hepatitis B, C, rheumatoid arthritis and oxygen dependent emphysema was hospitalized for exacerbation of COPD. The patient had a history of heavy smoking (40 pack-years) since the age of 18 and of intravenous methylphenidate (Ritalin) and Percocet abuse for 4 years, 20 years previously. The hospital course was complicated by pneumonia, fungemia and subsequent death of respiratory failure. At autopsy, severe bilateral emphysema and extensive anthracosis of hilar lymph nodes were noted. Microscopic examination of the lungs by H & E and under polarized light revealed the following (see images below).

Forensics Part 2, Question #5
Forensics Part 2, Question #5


Forensics Part 2, Question #5
Forensics Part 2, Question #5


The correct statement about this condition is:
7. A 20-year-old white male with a long standing history of epilepsy was found dead face down in his bedroom. The relatives of the deceased stated that his condition worsened recently. The seizures became more frequent and were poorly controlled despite adjustment of medications. An autopsy was performed at Medical Examiner’s office. The external examination of the body revealed multiple, firm, brown, telangiectatic papules located in the nasolabial folds, chin, and cheeks (see gross image). The areas of thick leathery skin resembling an orange peel were found on the lower back and posterior neck. Examination of formalin-fixed brain revealed expanded, pale and firm gyri in both frontal and parietal lobes (see gross images below).

Sectioning of the formalin fixed brain also showed well-demarcated, multinodular masses of fleshy, gray– pink tissue in the wall of the lateral ventricles. Cut surface of the lesions displayed foci of calcification. Gross and microscopic images are provided below.

Forensics Part 2, Question #8
Forensics Part 2, Question #8


Forensics Part 2, Question #8
Forensics Part 2, Question #8


Forensics Part 2, Question #8
Forensics Part 2, Question #8


Forensics Part 2, Question #8
Forensics Part 2, Question #8


All the statements about this lesion are true EXCEPT:
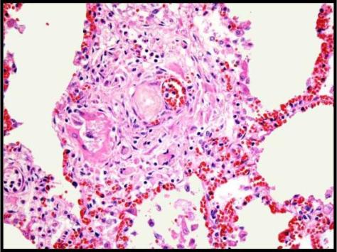
8. An infant delivered by caesarean section at 31 weeks gestation died within an hour after birth despite active resuscitation. At autopsy, edema of the face and abdominal distension were noted. The thoracic cavity was filled by the pericardial sac distended by effusion and cardiomegaly. Massive hepatomegaly was noted. Microscopic examination of the majority of the internal organs revealed the following (see images). The results of a post delivery hemoglobin electrophoresis are provided on the website.

Forensics Part 2, Question #3
Forensics Part 2, Question #3


Forensics Part 2, Question #3
Forensics Part 2, Question #3


Forensics Part 2, Question #3
Forensics Part 2, Question #3


Forensics Part 2, Question #3
Forensics Part 2, Question #3


The underlying cause of this newborn condition is:
9. A 95-year-old female with the end stage of Alzheimer’s disease was found dead in her apartment. Her relatives live in Canada and speak regularly with her by phone. The building manager checked on her when the family was unable to reach her for two days. Postmortem examination at the Medical Examiner’s office revealed a cachectic elderly woman with external signs of dehydration. Vitreous fluid and blood samples were drawn. Which postmortem vitreous chemistry pattern is most characteristic for dehydration?
A:
  • ↑ vitreous Na+
  • ↑ vitreous Cl-
  • → vitreous K+
  • ↑ serum BUN
  • ↑ serum creatinine
B:
  • → vitreous Na+
  • → vitreous Cl-
  • → vitreous K+
  • ↑ serum BUN
  • ↑ serum creatinine
C:
  • ↓ vitreous Na+
  • ↓ vitreous Cl-
  • ↓ vitreous K+
  • → serum BUN
  • → serum creatinine
D:
  • ↓ vitreous Na+
  • ↓ vitreous Cl-
  • ↑ vitreous K+
  • → serum BUN
  • → serum creatinine
10. A 64-year-old white woman was found dead in bed by her husband. According to him, the deceased was a former drug user with a history of schizophrenia and depression. She was taking several prescribed medications including methadone. Recently, she was in her usual state of health and had no complaints. An autopsy performed at Medical Examiner’s office revealed splenomegaly (760 grams) with prominent white pulp on sectioned surfaces (see gross image). No lymphadenopathy was noted, and the rest of the organs were grossly unremarkable. Microscopically, the splenic white pulp was expanded. Within the nodules, two populations of cells were present: numerous small cells and less frequent large cells (see microscopic photos below). By immunohistochemistry, the cells were CD20+, CD10+, BCL6+, BCL2+, CD5-, CD43- and CD 23-.

Forensics Part 2, Question #10
Forensics Part 2, Question #10


Forensics Part 2, Question #10
Forensics Part 2, Question #10


Forensics Part 2, Question #10
Forensics Part 2, Question #10


Forensics Part 2, Question #10
Forensics Part 2, Question #10


What is true about this entity?