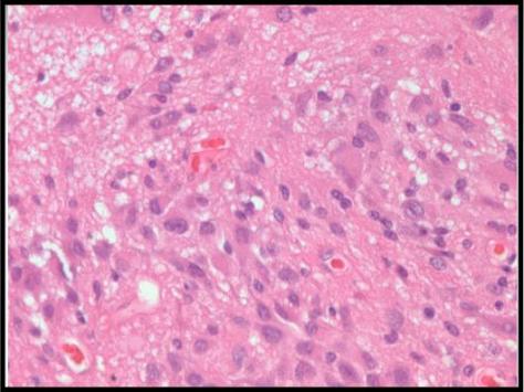
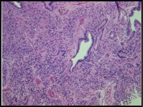
PathMD Quizes, Neuropathology Neuropathology – 02 October 29, 2017 peferguson Author: Murat Gokden, M.D. Make sure to subscribe to PathMD to stay up to date with new content and features!! 1. Which of the following is correct regarding hypertensive central nervous system hemorrhage?periventricular white matter is the preferred site for hemorrhagemany cases are associated with congophilic angiopathy it is the second most common cause of subdural hemorrhage it comprises approximately 1/3 of all intraparenchymal brain hemorrhagesCharcot-Bouchard aneurysms are thought to be the site of hemorrhage 2. Which of the following is true regarding pituitary adenomas?Nelson syndrome is associated with gonadotroph adenomas Pituitary apoplexy is a postpartum neurosurgical emergency Invasive adenomas have high probability of distant metastasesGrowth hormone adenoma is the most common type Reticulin stain is a very useful technique for the differential diagnosis of normal pituitary gland vs. hyperplasia vs. adenoma 3. Which of the following lesions may be found together with the lesion shown in the picture? (SEGCA) Neuropathology Set 2 Neuropathology Set 2Cardiac rhabdomyoma Subungual angioma Renal cell carcinoma GlioblastomaPericardial cyst 4. Which of the following is true regarding neursyphilis?Tabes dorsalis is the type that leads to dementia Neurosyphilis occurs in approximately half of untreated and 10% of treated patients Meningovascular form is associated with obliterative endarteritis of the meninges It occurs in the secondary stage of the disease Paretic neurosyphilis is aseptic and is an immune reaction to bacterial components 5. Which of the following is true regarding the lesion in this picture? Neuropathology Set 2It may be associated with renal cell carcinoma It is a highly malignant brain tumor with frequent dissemination to cerbrospinal axis It usually presents as a highly infiltrative tumor, but paradoxically has a good prognosis It is typically located in the brainstem Its immunophenotype is essentially identical to renal cell carcinoma in many cases 6. Which of the following pairs is correct?Kerns- Sayre syndrome- mitochondrial tRNA Vitamin B1 deficiency- subacute combined degenration of the spinal cord Adrenoleukodystrophy- long chain fatty acids Metachromatic leukodystrophy- arylsulfatase A Amyotrophic lateral sclerosis- trinucleotide repeats 7. A 29 year old man was found dead in the street. Autopsy showed hemorrhage under occipital scalp, and contusions of both occipital poles. Which of the following is the most likely explanation?Intracranial hemorrhage secondary to hypertensionHe was previously strangled to death and later the body was dumped in a remote street, at which time his head his the concrete pavement Slipped and fell on his back, hitting his head to concrete pavement Metastatic lung cancer secondary to heavy smoking He was attacked and was hit on the back of his head by a baseball bat 8. Which of the following is correct regarding the lesion shown in this picture? Neuropathology Set 2The most common location is posterior cerebral artery branches bleeding is typically associated with incipient leakage It is the most common cause of subarachnoid hemorrhageIt is the second most common type of intracranial aneurysm it is usually located at the bending points of arteries 9. Which of the following is true regarding the lesion shown in the picture? Neuropathology Set 2It is associated with one of the rarest form of genetic disorders It is associated with an autosomal-recessive disorder It is associated with an abnormality in 22q Bilateral schwannomas are also present in volving the 8th. nerve It has a higher rate of progression to malignancy compared to general population 10. While walking home after a party where he consumed five cans of beer, a previously healthy 28 year-old man fell and hit his head on the curb. He got up and went home. Later that night, he became unconscious and was brought to the emergency room by his roommate. Physical exam showed swelling of left temporalparietal area. What is the most likely explanation to his condition?Right meningeal artery rupture Rupture of an anterior communicating artery aneurysmPreviously asymptomatic bacterial meningitis Left meningeal artery ruptureLeft cerebral artery rupture 11. Which of the following is true regarding the lesion shown in the picture? Neuropathology Set 2 Neuropathology Set 2Spinal cord is the most common location in childrenGFAP has a peculiar perinuclear positivityCerebrospinal fluid dissemination is common It is usually seen in the temporal lobe 1p/19q losses indicate worse prognosis 12. Which of the following is true regarding the disease shown in the picture? Neuropathology Set 2S. pneumoniae is the most common cause in adolescents it represents diffuse involvement of meninges by malignancyit may result in hydrocephalusE. coli is the most common cause in the elderly cerebrospinal fluid shows increased lymphocytes and normal glucose level 13. Duret hemorrhages:occur in association with subfalcine herniationare seen in midbrain and ponsare the most common cause of aqueductal stenosis are secondary to middle meningeal artery tearsaccompany cerebellar mass lesions 14. Which of the following is true regarding the disease process shown in the picture? Neuropathology Set 2Structures with similar name, but with different microscopic appearance can be seen in cortical neurons and are easily demonstrated by synuclein immunohistochemistry This disease most commonly involves ageing neurons with lipofucsin pigment Increase in serotonin levels is the major abnormality This picture is most likely from caudate nucleus This disease can easily be suspected in neonates by gross examination 15. Which of the following is correct regarding HIV and central nervous system?CJD caused by opportunistic JC virus infection is a rare but serious complication diagnostic feature is intense lymphocytic infiltrates in the brain parenchyma and in the leptomeningesspinal cord involvement presents as transverse myelitis due to opportunistic Herpes virus infectionopportunistic infections are more commonly seen in the pediatric patient population approximately 60% of AIDS patients develop neurologic dysfuntion in the course of their disease Loading... Share this: Share on X (Opens in new window) X Share on WhatsApp (Opens in new window) WhatsApp Share on Facebook (Opens in new window) Facebook Email a link to a friend (Opens in new window) Email Print (Opens in new window) Print Share on LinkedIn (Opens in new window) LinkedIn Related