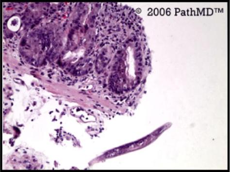
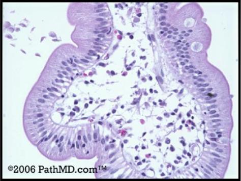
PathMD Quizes, GI Pathology GI Pathology – 01 October 29, 2017 peferguson Make sure to subscribe to PathMD to stay up to date with new content and features!! 1. All of the following are useful in diagnosing active CMV infection of the GI tract EXCEPT:Serologic studiesImmunohistochemistry“Owl’s eye” inclusions of endothelial cells on H & E sectionsIsolation of CMV in cultureIn-situ hybridization 2. Which of the following is the most common mycobacterium isolated from the GI tract?M. tuberculosisM. avium-intracellulareM. bovisM. kansasiiNone of the answers 3. Which of the following is the most valuable diagnostic tool for herpes infection of the GI tract:ImmunohistochemistryViral cultureIdentification of characteristic nuclear inclusionsIn-situ hybridizationNone of the answers 4. Which of the following are associated with bloody diarrhea:Enteroinvasive E. coliEnteropathogenic E. coliAll answers are correctE. coli H7:O157 infection and Enteroinvasive E. coliE. coli H7:O157 infection 5. Which of the following is the best diagnosis for the following images in a biopsy specimen from the small intestine? Special stains for acid fast bacilli were negative. Small bowel - PAS Small bowel - H&ECryptosporidiumHistoplasmosisWhipple’s disease RhodococcusMAI infection 6. Which of the following is the best diagnosis for the following images in a biopsy from the small intestine? Small IntestineE. histolyticaCryptosporidiumGiardia lamblia H. pylori Leshmania donovani 7. Which of the following is the best diagnosis for the following images in a biopsy specimen from the stomach? Stomach StomachAscaris lumbricoidesEnterobius vermicularisTrichuris trichiura Strongyloides stercoralisAnisakis simplex 8. Which of the following is the best diagnosis for the following images from an appendix? Appendix AppendixSchistosomiasisEnterobius vermicularis AnisakisNone of the answersAscaris 9. All of the following are characteristics of acute self limited colitis (ASLC) EXCEPT:Lamina propria neutrophilsBasal plasmacytosis Preservation of crypt architecture Crypt abscessesCryptitis 10. C. diff. related pseudomembraneous colitis (PMC) is most commonly related to which of the following antibiotic treatments:FlagylTetracyclineOral VancomycinClindamycinAll of the answers 11. Which of the following is the best diagnosis for the following images in a biopsy from the stomach? Stomach biopsyNone of the answersHPV infectionAdenovirusHSV infection CMV infection Loading... Share this: Share on X (Opens in new window) X Share on WhatsApp (Opens in new window) WhatsApp Share on Facebook (Opens in new window) Facebook Email a link to a friend (Opens in new window) Email Print (Opens in new window) Print Share on LinkedIn (Opens in new window) LinkedIn Related