Category Archives: GI Pathology
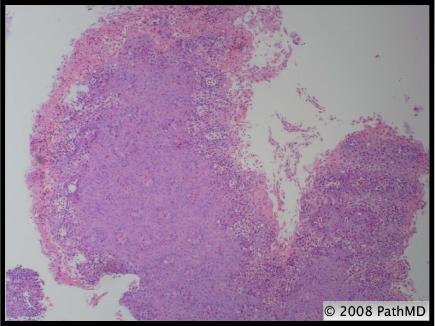
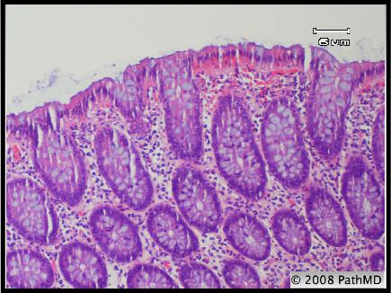
GI Pathology – 07
Make sure to subscribe to PathMD to stay up to date with new content and features!!
GI Pathology – 06
Please go to GI Pathology – 06 to view this test
GI Pathology – 05
Please go to GI Pathology – 05 to view this test
GI Pathology – 04
Please go to GI Pathology – 04 to view this test
GI Pathology – 03
Please go to GI Pathology – 03 to view this test
GI Pathology – 02
Please go to GI Pathology – 02 to view this test
GI Pathology – 01
Please go to GI Pathology – 01 to view this test
