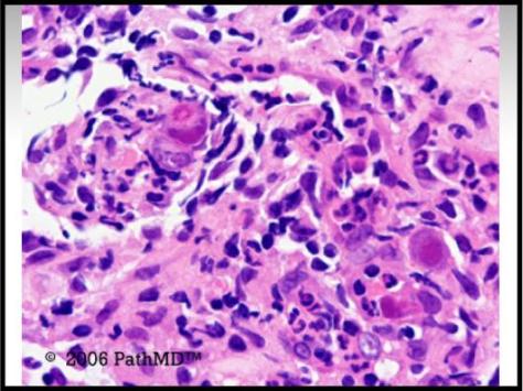
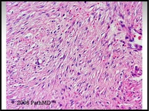
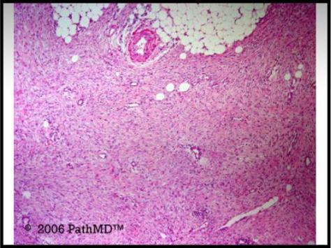
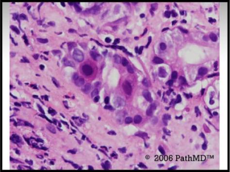
PathMD Quizes, GI Pathology GI Pathology – 02 October 29, 2017 peferguson Make sure to subscribe to PathMD to stay up to date with new content and features!! 1. A 55 y/o male is found to have a mass lesion in the anal canal just above the dentate line. Based on the history and histologic findings in the images, the best diagnosis is: Gastrointestinal Pathology - Set 2, Case #1 Gastrointestinal Pathology - Set 2, Case #1 Gastrointestinal Pathology - Set 2, Case #1Small Cell CarcinomaMSI associated adenocarcinoma “Cloacogenic” carcinoma Spindle cell squamous cell carcinoma Poorly differentiated adenocarcioma 2. A 70 y/o woman undergoes a screening colonoscopy and is found to have a right sided polyp. Based on the histologic findings in the images, the best diagnosis is: Gastrointestinal Pathology - Set 2, Case #4 Gastrointestinal Pathology - Set 2, Case #4Granular cell tumor Liposarcoma, low grade Gastrointestinal Stromal Tumor LipomaHamartoma 3. A 35 y/o male with HIV presented to the ER with a h/o bloody diarrhea. Colonoscopy with multiple biopsies were performed. Based on the histologic findings in the images, the best diagnosis is: Gastrointestinal Pathology - Set 2, Case #2 Gastrointestinal Pathology - Set 2, Case #2E. coli H7:O157 infection Pseudomembranous colitis Ischemic colitis HSV infection CMV colitis 4. A 55 y/o female is found to have an abdominal mass. A surgery a mass was found within the mesentery abutting the stomach and small intestine. Immunohistochemistry found the cells of interest to be positive for smooth muscle actin but negative for CD34, CD117, S-100, and desmin. Based on the histologic immunohistochemical findings, the best diagnosis is: Gastrointestinal Pathology - Set 2, Case #9 Gastrointestinal Pathology - Set 2, Case #9 Gastrointestinal Pathology - Set 2, Case #9 Gastrointestinal Pathology - Set 2, Case #9Gastrointestinal Stromal Tumor (GIST) Smooth muscle tumorMesenteric melanoma FibromatosisSchwannoma 5. A 45 y/o woman undergoes colonoscopy for chronic diarrhea. No polyps or ulcerations are found. The mucosal surface is somewhat discolored, and multiple biopsies are obtained. Based on the histologic findings, the best diagnosis is: Gastrointestinal Pathology - Set 2, Case #5 Gastrointestinal Pathology - Set 2, Case #5MAI infection Vitamin E deficiencyMelanosis Coli Whipple’s disease Ceroidosis “Brown Bowel Syndrome” 6. A 55 y/o male with a history of intermittent bloody stool undergoes a colonoscopy. A large polyp is found and biopsied. Based on the histologic finding shown, what is the best diagnosis: Gastrointestinal Pathology - Set 2, Case #7 Gastrointestinal Pathology - Set 2, Case #7 Gastrointestinal Pathology - Set 2, Case #7Tubular Adenoma with signet ring carcinoma Tubular Adenoma with MAI infection Tubular Adenoma with Whipple’s diseaseTubular Adenoma Tubular Adenoma with high grade dysplasia 7. A 45 y/o Asian male with a history of chronic hepatitis B presents to the ER with a liver mass by CT scan. Surgery is performed and representative images of the histology are shown. Based on the findings, the best diagnosis is: Gastrointestinal Pathology - Set 2, Case #10 Gastrointestinal Pathology - Set 2, Case #10 Gastrointestinal Pathology - Set 2, Case #10Chronic hepatitis B Macroregenerative noduleCirrhosisCholangiocarcinomaHepatocellular carcinoma 8. A 35 y/o black male with a history of renal transplant and unspecified GI complaints undergoes colonoscopy for the evaluation of GVHD. Based on the histologic findings, the best diagnosis is: Gastrointestinal Pathology - Set 2, Case #8 Gastrointestinal Pathology - Set 2, Case #8CMV infection Graft versus host disease Histoplasmosis Ischemic bowel HSV infection 9. A 45 y/o male with a history of constipation and occasional bright read blood on his stool undergoes a colonoscopy. A polypoid lesion is identified in the left colon, and a biopsy is performed. Based on the histologic findings, the best diagnosis is: Gastrointestinal Pathology - Set 2, Case #6 Gastrointestinal Pathology - Set 2, Case #6 Gastrointestinal Pathology - Set 2, Case #6Inflammatory fibroid polyp Prolapse polyp Tubular adenoma Colitis cystica profunda Hyperplastic polyp 10. A 60 y/o female undergoes a screening colonoscopy and is found to have a single left-sided colon polyp. Based on the histologic findings in the images for this case, the best diagnosis is: Gastrointestinal Pathology - Set 2, Case #3 Gastrointestinal Pathology - Set 2, Case #3 Gastrointestinal Pathology - Set 2, Case #3Hyperplastic polyp Colitis cystica profunda Prolapse polyp Inflammatory fibroid polyp Tubular adenoma Loading... Share this: Share on X (Opens in new window) X Share on WhatsApp (Opens in new window) WhatsApp Share on Facebook (Opens in new window) Facebook Email a link to a friend (Opens in new window) Email Print (Opens in new window) Print Share on LinkedIn (Opens in new window) LinkedIn Related