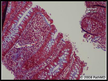
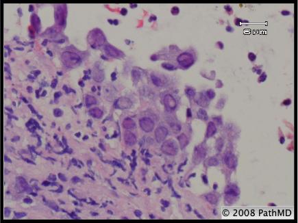
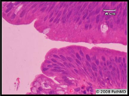
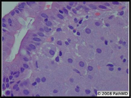
PathMD Quizes, GI Pathology GI Pathology – 06 October 29, 2017 peferguson Make sure to subscribe to PathMD to stay up to date with new content and features!! 1. A 64 y/o male presents with chronic weight loss that is significant and unwanted. Chest X-ray and CT scans show infiltrates and a possible mass. The patient has no known history of immune suppression or steroid use. An EGD was performed due to difficulty swallowing and showed a 5cm stricture. This area was biopsied, and representative images are shown. Based on the findings, what is the best diagnosis? Gastrointestinal Pathology - Part 6, Question #3 Gastrointestinal Pathology - Part 6, Question #3 Gastrointestinal Pathology - Part 6, Question #3 Gastrointestinal Pathology - Part 6, Question #3MAI infectionSquamous cell carcinomaTB infectionInvasive fungal infectionPoorly differentiated adenocarcinoma 2. Fundic gland polyps are associated with all of the following EXCEPT:Adenomatous polyposis coli (APC) gene mutationsFamilial adenomatous polyposis (FAP)Proton pump inhibitor therapyH. pylori infectionFemale gender 3. Which of the following is the most specific marker for a gastrointestinal stromal tumor?CD34S100DesminCD10CD117 4. A patient undergoes an EGD for non-specific abdominal pain. A nodule is found in the duodenum. Based on the histologic images, what is the most important diagnosis to consider? Gastrointestinal Pathology - Part 6, Question #6 Gastrointestinal Pathology - Part 6, Question #6 Gastrointestinal Pathology - Part 6, Question #6Familial adenomatous polyposisGardner syndromeNeurofibromatosis, type 1Underlying carcinoma 5. Which of the following are true about gastric foveolar polyps?Are associated with an increased risk of carcinomaProminent cystic changeDo not have intestinal metaplasiaTypically occur in the antrumOften have chronic inflammation 6. All of the following are true with respect to “intramucosal carcinoma” of the colon EXCEPT:Has biologic potential for metastasisUsually encountered in adenomasThere is no EXCEPT, all of the above are trueIs equivalent to the term intramucosal neoplasiaIs also referred to as high grade dysplasia 7. All of the following are true about collagenous colitis, EXCEPT:Distal colon biopsies may appear normalWomen outnumber men, 2:1The collagen often entraps small capillariesPaneth cell metaplasia may indicate treatment resistanceIncreased intraepithelial lymphocytes should always be present 8. A 60 y/o male presents with a history of chronic diarrhea. Colonoscopy was performed with no significant findings. Random biopsies were obtained, which are shown for this case. Based on these findings, what is the best diagnosis? Gastrointestinal Pathology - Part 6, Question #5 Gastrointestinal Pathology - Part 6, Question #5 Gastrointestinal Pathology - Part 6, Question #5 Gastrointestinal Pathology - Part 6, Question #5 Gastrointestinal Pathology - Part 6, Question #5Ulcerative colitisCollagenous colitisBrainerd diarrheaCrohnʼs diseaseLymphocytic colitis 9. A 67 y/o female presents with dysphagia and undergoes an EGD. Biopsies were performed and histologic images and appropriate immunohistochemical (IHC) stains are performed. Based on the findings, what is the IHC diagnostic of? Gastrointestinal Pathology - Part 6, Question #2 Gastrointestinal Pathology - Part 6, Question #2 Gastrointestinal Pathology - Part 6, Question #2CMVHSVHIVEBV 10. What is the best diagnosis, based on images for this case? Gastrointestinal Pathology - Part 6, Question #9 Gastrointestinal Pathology - Part 6, Question #9 Gastrointestinal Pathology - Part 6, Question #9. PAS Gastrointestinal Pathology - Part 6, Question #9. AE1/AE3 Gastrointestinal Pathology - Part 6, Question #9. AFBDiarrheogenic bacterial colitisMetastatic carcinomaCryptosporidiosisMAI infectionWhipple disease Loading... Share this: Share on X (Opens in new window) X Share on WhatsApp (Opens in new window) WhatsApp Share on Facebook (Opens in new window) Facebook Email a link to a friend (Opens in new window) Email Print (Opens in new window) Print Share on LinkedIn (Opens in new window) LinkedIn Related