Hematopathology – 08

Make sure to subscribe to PathMD to stay up to date with  new content and features!!

1. A patient undergoes an EGD for epigastric pain. Nodularity is noted in the duodenum and biopsies are obtained. Based in the images and immunohistochemical (IHC) findings, which of the following are true?

Hematopathology - Part 8, Question #5
Hematopathology - Part 8, Question #5


Hematopathology - Part 8, Question #5
Hematopathology - Part 8, Question #5


Hematopathology - Part 8, Question #5
Hematopathology - Part 8, Question #5


Hematopathology - Part 8, Question #5
Hematopathology - Part 8, Question #5. CD3


Hematopathology - Part 8, Question #5. CD20


Hematopathology - Part 8, Question #5
Hematopathology - Part 8, Question #5. CD43
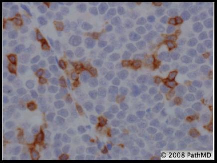
2. A 22 y/o male presents with fairly rapid onset of adenopathy. A lymph node biopsy is performed and images are shown from this case. Additional studies by FISH are positive for a myc gene translocation involving chromosome 8 and another unknown chromosome. Based on the findings, what is the best diagnosis?

Hematopathology - Part 8, Question #2
Hematopathology - Part 8, Question #2


Hematopathology - Part 8, Question #2
Hematopathology - Part 8, Question #2


Hematopathology - Part 8, Question #2
Hematopathology - Part 8, Question #2. BCL-2


Hematopathology - Part 8, Question #2
Hematopathology - Part 8, Question #2. CD3.


Hematopathology - Part 8, Question #2
Hematopathology - Part 8, Question #2. CD10.


Hematopathology - Part 8, Question #2. CD20.


Hematopathology - Part 8, Question #2
Hematopathology - Part 8, Question #2. Ki-67.


Hematopathology - Part 8, Question #2
Hematopathology - Part 8, Question #2. MUM-1.
3. What is the most common cause of anemia in children under the age of 4 years?
4. Coarse basophilic stippling of RBCs is associated with which of the following:
5. A 32 y/o female presents with fatigue. Laboratory studies show a low RBC count, decreased hemoglobin/Hematocrit, decreased MCV, increased RDW, and an iron saturation of 17%. What is the best diagnosis, and which piece of information is most helpful in distinguishing it from other possible answers listed?

Hematopathology - Part 8, Question #3
Hematopathology - Part 8, Question #3


Hematopathology - Part 8, Question #3
Hematopathology - Part 8, Question #3
6. Which of the followings is more likely to be a cause of a macrocytic anemia with a normal RDW?
7. What is the etiology of a Pappenheimer body?
8. In a normal patient, how long do reticulocytes persist?
9. All of the following are often microcytic anemias EXCEPT:
10. An anemic patient (Hct. = 25%) is noted to have 6% reticulocytes circulating in the peripheral blood. What is the corrected reticulocyte count?