Microbiology – 02

Author: Jennifer L. Lindner Hammers, D.O

Make sure to subscribe to PathMD to stay up to date with  new content and features!!

1. You receive a call from the clinician regarding the previous case. She wants to know if the organism is sensitive to TE. You tell her the zone of inhibition is within the sensitive range but there is mixed growth on the plate. She asks if the sensitivity is valid, since there is mixed growth. What is your BEST response?
2. While examining the plates from a wound specimen that came from the operating room, you identify tiny, white creamy colonies that appear to be yeast, mixed with some larger white colonies. You notice that the plates were cultured late the previous evening, but you do not want to delay your identification and susceptibility another day. You decide to carefully isolate only the larger colonies and perform disc diffusion susceptibility testing on a Mueller-Hinton plate. Based on the image, what is the BEST interpretation of this test?

Microbiology - Part 2, Question #5
Microbiology - Part 2, Question #5
3. You receive a blood agar plate and notice small white colonies surrounded by a zone of hemolysis. You suspect the organism growing on the plate is a Streptococcus and you confirm your suspicion with Gram stain and negative catalase and negative coagulase tests. You type the Streptococcus and find that it is a Lancefield group B Streptococcus. What are the identified organism and the typical response to penicillin?
4. Based on the image and the diagnosis, what type of crystals are commonly found in the urine of these patients?

Microbiology - Part 2, Question #8
Microbiology - Part 2, Question #8


Microbiology - Part 2, Question #8
Microbiology - Part 2, Question #8
5. Culture plates are made from the blood culture specimen of a 35-year-old man who clinically appears septic. The following day you examine the plates and notice small translucent glistening colonies growing on the Chocolate agar. You perform a Gram stain and see abundant gram-negative cocci in pairs and are suspicious of Neisseria. To identify the organism, you decide to culture the colonies to another media and/or perform additional tests. Which of the following results is LEAST LIKELY to be helpful?
6. Small white colonies are growing on a blood agar plate. You are suspicious of Staphylococcus aureus and attempt to confirm the diagnosis with a catalase and coagulase. The catalase is positive but the coagulase is negative. Despite the result of the coagulase, you are still highly suspicious that the organism is S. aureus. You set up a tube coagulase test to investigate. After 4 hours, you note a firm clot in the tube. You continue incubation and check the tube after 24 hours and notice the clot has dissolved. Your control tubes have appropriate reactions. What is the BEST interpretation of this tube coagulase test?
7. You identify a Klebsiella pneumoniae on a plate from a respiratory specimen. To test the sensitivities for the organism you use an automated minimum inhibitory concentration (MIC) device. The sensitivity results are ready the next morning and you review the report before sending out the final results. The report shows that the organism is sensitive to all antibiotics. What is your MOST APPROPRIATE next step?
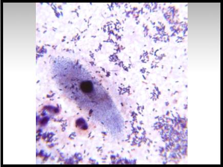
8. A clinician calls for a preliminary report on a wound specimen. As the resident on microbiology, you are asked to review the Gram stain made from the specimen. Based on the image, what is the MOST APPROPRIATE interpretation of this stain?

Microbiology - Part 2, Question #2
Microbiology - Part 2, Question #2
9. After confirming that the organism is Neisseria, you are asked to determine if the species is gonorrhoeae or meningitidis. You decide the best method for differentiating is by testing for fermentation of different sugars. Which of the following patterns would be INDICATIVE of N. meningitidis?
10. A patient is admitted to the hospital and the clinician orders a nasal swab to screen for methicillin resistant Staphylococcus aureus (MRSA). The swab is received in the microbiology laboratory and is plated onto a CHROMagar MRSA plate. Based on the growth you see in the image, you perform a latex agglutination test, which is positive. The BEST interpretation of this specimen is:

Microbiology - Part 2, Question #3
Microbiology - Part 2, Question #3
11. A urine specimen from a middle aged female in received in the microbiology laboratory. You notice on the patientʼs history that her chief complaint is urinary tract infection symptoms with alkaline urine. You examine the blood agar plate and see >100 k/ml of pinpoint smooth whitish-gray colonies growing on the aerobic blood agar plate. There is no growth on the MacConkey plate. You decide to make a Gram stain and notice that as you try to pick a colony from the plate, the colony is very sticky and difficult to sample. While you wait for the Gram stain to dry, you perform a catalase, which is positive. Examination of the Gram stain reveals small slightly curved Gram positive rods. Based on the Gram stain and other findings, what is the MOST LIKELY diagnosis?